Case Study · Implant Dentistry

The Crown That Came Loose — and Everything It Taught Us

A real case from our clinic on implant identification, early bone changes, and why your dental records matter more than you think.

Dr. S.J. Govindaraj
Dr. S.J. Govindaraj Principal Dentist, Crown Dental Care
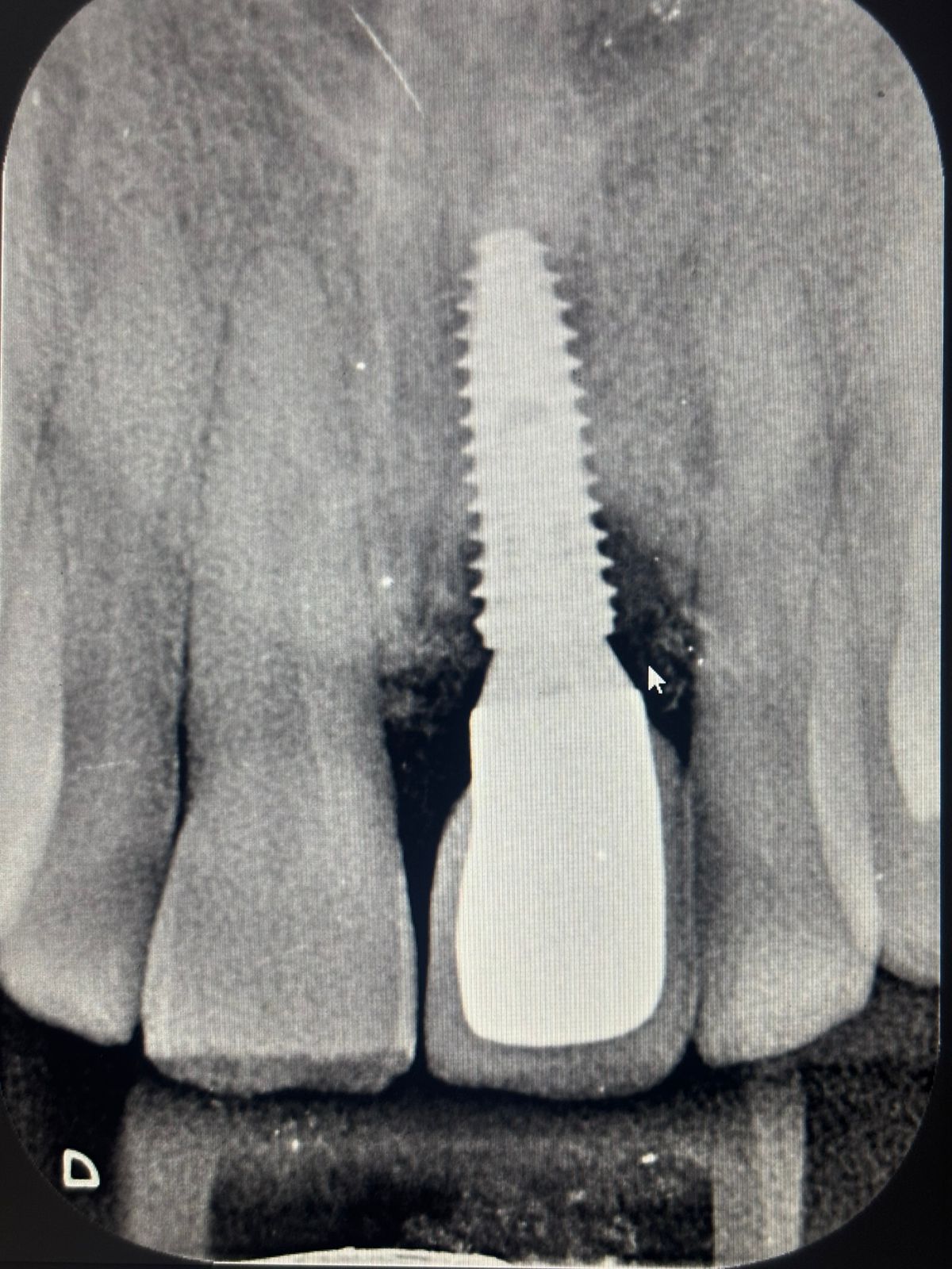
Implant Screw and Tooth Structure

"Some of our most valuable clinical lessons arrive not through complex surgeries, but through a patient walking in on an ordinary morning holding a zip-lock bag — with a smile that is one tooth short of complete."

The Presentation

A detached front crown and a missing paper trail

Rajesh, a 40-year-old professional, arrived at Crown Dental Care one weekday morning with his implant crown resting in a small bag. It had separated over the weekend from his upper front implant — the most visible tooth in his smile. He was calm, but understandably eager to get things sorted before his next meeting.

What made this case immediately interesting was not the separated crown itself — that is a known, treatable event in implant dentistry — but what came next. Rajesh had no dental records with him. His implant had been placed years earlier at a clinic in another city. He had no documentation of the implant brand, the internal connection type, or the torque specifications. The clinic had changed hands, and his printed implant card was somewhere in a drawer he could not locate.

He was a patient without a dental history. And yet, his problem needed to be solved today.

Radiographic Assessment

What the X-ray showed — including something we had to flag

X-ray of patient with implant

Our first step was to take an intraoral periapical (IOPA) X-ray of the implant site. This is standard protocol: before touching anything, we need to understand what we are working with beneath the gumline.

The good news — the implant body appeared stable within the bone. There were no signs of infection around the implant tip, and the abutment was intact. This was not an implant in distress. The crown had simply lost its mechanical retention over time, which is a well-documented occurrence and entirely correctable.

Important Finding — Crestal Bone

However, the X-ray also revealed early crestal bone changes around the implant neck — a finding we do not overlook or minimise. Crestal bone is the portion of the jawbone that sits at the level of the implant shoulder, and minor changes here can be an early indicator of bone remodelling or the beginning of peri-implant stress. Rajesh was informed of this finding clearly and calmly. We explained what it means, what it does not necessarily mean, and why it is important to monitor this going forward. A follow-up review was scheduled, and personalised oral hygiene guidance was provided for maintaining implant health at home. Early awareness is always in the patient's best interest.

This is a reminder that an X-ray taken for one purpose — identifying a loose crown — can simultaneously provide broader clinical intelligence. Every image is an opportunity to see the full picture, and our team is trained to read it that way.

The Clinical Puzzle

Identifying the implant without documentation

Implant bone with screw

With no records available, identifying the internal hex connection of Rajesh's implant required a hands-on, systematic approach. Different implant systems use different internal hex sizes — the small hexagonal socket that the screwdriver fits into when tightening the abutment screw. The wrong driver will either not engage at all, or worse, strip the connection.

At Crown Dental Care, we maintain a comprehensive master hex driver kit — a set of calibrated screwdriver tips covering the full range of hex sizes used across major implant systems worldwide. Working methodically through the kit, the attending clinician tested each driver against the abutment screw until finding the one that seated cleanly, with no rocking or play.

Identified Hex Size

The internal hex was confirmed as 1.25 mm — consistent with several widely used implant platforms. The abutment screw was re-torqued to the appropriate specification, the crown was re-cemented, and occlusion was checked and adjusted. Rajesh left the clinic with a secure, functional smile.

The case was resolved efficiently. But as a team, we found ourselves talking about it afterward — not because it was difficult, but because it did not have to be uncertain in the first place.

What This Case Taught Us

Three things every implant patient — and every dental practice — should act on

01
Keep your implant records accessible

Your implant is a precision device. The brand, model, internal hex size, and torque specifications are critical information. Ask your placing dentist for a digital copy and store it on your phone or email. If you ever visit a new clinic — planned or in an emergency — this one document saves significant time and removes all guesswork.

02
X-rays reveal more than the obvious

An X-ray taken to investigate a loose crown gave us early sight of crestal bone changes that Rajesh was completely unaware of. This is why we never skip baseline imaging during implant visits. What looks like a minor mechanical issue on the surface could carry a more significant story underneath.

03
Your dental practice must be prepared

A master hex kit is not optional equipment for a clinic that treats implant patients. It is a clinical necessity. Patients present without records more often than we expect — practices must have the tools and protocols to handle this competently, without sending the patient away.

The Future of Implant Care

How AI could change the way we read implant X-rays

Cases like Rajesh's also point toward an exciting — and increasingly near — frontier in dental diagnostics: artificial intelligence that can read a dental X-ray and suggest the implant system used, even without documentation.

Generative AI in Dentistry

Implant identification from X-ray morphology

Every implant leaves a unique radiographic fingerprint. Thread pitch, body taper, shoulder design, platform width, and internal connection geometry — all of these features are visible on a well-exposed IOPA, and all vary meaningfully between manufacturers and product lines.

Generative AI models trained on large, labelled datasets of implant X-rays can analyse these features and return a ranked probability match: "Most likely consistent with a Straumann Bone Level implant — internal hex 1.25 mm — with 86% confidence. Also compatible with Nobel Active or Osstem TS III." This output, provided within seconds of uploading an image, transforms a clinical guessing game into a data-informed starting point.

At Crown Dental Care, we are actively watching developments in this space. We believe AI-assisted radiographic analysis will become a standard layer of implant workup within this decade — not replacing clinical judgment, but sharpening it significantly. We are committed to integrating such tools as they become validated for clinical use.

A Final Thought

Your implant has a story. Make sure someone can read it.

Rajesh's implant had a manufacturer, a catalogue number, a hex specification, and a placement history. None of that information was accessible when it mattered. The crown was repaired. The bone finding was discovered, communicated, and scheduled for monitoring. The outcome was good. But the friction along the way was entirely preventable.

We share this case not to alarm, but to inform. Implants are extraordinary restorations — but they are precision systems that require documentation, monitoring, and the occasional professional visit even when nothing appears wrong. A routine follow-up X-ray does not just confirm that all is well. Sometimes, it catches something early enough to make a real difference.

If you have a dental implant and are unsure of its details, call us. We will help you trace the system, update your records, and ensure your implant has the long-term monitoring it deserves.

Have an implant? Let's check in on it.

Whether your crown feels loose, you have no documentation of your implant system, or you simply haven't had your implant reviewed in a while — we are here to help.

crowndentalcare.in

Explore More Dental Health Topics

Continue learning about dental care and treatments

View All Blog Posts